当前位置: 健康中国> >
13岁!脑梗!甘肃省中心医院卒中院内绿色通道启动
发布时间: 2024-05-16 16:14:20 | 来源: 中国网健康 | 责任编辑: 曹洋
近期,甘肃省中心医院神经内科、儿童急救中心二部、放疗中心、麻醉手术二部等多学科协作,成功为一位13岁基底动脉闭塞患儿进行了血管内治疗-经桡动脉入路基底动脉血管再通术。
患儿入院3天前无明显诱因出现头痛不适,23小时前出现意识障碍,在当地医院行头颅CT未见异常,住院治疗后意识障碍进行性加重,当地医院联系甘肃省中心医院进行远程会诊,考虑可能为儿童脑卒中,紧急转诊至该院,同时联系卒中中心做好绿色通道准备。
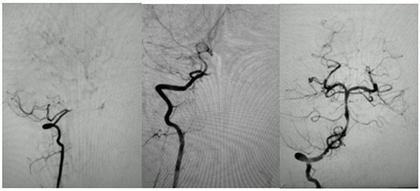
患儿到院后立即完善头颅核磁检查提示:脑桥、双侧小脑半球多发异常信号,多考虑脑梗死(急性期);基底动脉及双侧椎动脉颅内段局部未显影,多考虑闭塞。卒中中心启动绿色通道评估。

经评估后结合患者病史,考虑为基底动脉闭塞所致的脑干梗死,神经内科尹榕主任带领卒中团队为减少穿刺并发症,提高患儿舒适度及依从性,选择经桡动脉入路,为患儿完善脑血管造影明确基底动脉起始部闭塞,经抽吸、支架取栓后发现患者为动脉夹层所致血管闭塞,前向血流无法维持,经与家属沟通同意后置入基底动脉支架维持前向血流通畅。手术过程顺利,术后患儿转入PICU二部,并联合卒中团队、神经重症团队、神经康复团队共同进行术后综合管理。

经及时开通血管、术后的规范管理、临床康复一体化治疗,在医院PICU二部医护人员精心守护下,患儿目前已清醒,脱离呼吸机。(甘肃省中心医院宣传统战部供稿)
延伸阅读
