让患者重获新生 机器人辅助8mm骨孔脑出血手术
发布时间: 2023-06-08 15:58:57 | 来源: 中国网健康 | 责任编辑: 张丰
脑出血作为常见脑血管疾病之一,近年发病率逐年上升,趋于年轻化。该病致残率和急性期病死率都很高,常见病因包括高血压、糖尿病、脑血管畸形、脑淀粉样血管病等。青壮年高血压脑出血的病例也越来越多,须引起足够的重视。
近日,中山大学附属第五医院(中大五院)神经外科主任刘飞教授团队采用机器人辅助,成功进行了脑内血肿穿刺置管引流术,使患者转危为安。

手术中
36岁的严某晚间突发头痛,随后肢体无力、意识障碍,被同事发现后,马上送到附近医院就诊。严某有高血压病史,当时她已意识朦胧,不能言语,右侧肢体瘫痪,肌力1级,血压高达210/118mmHg,头颅CT提示左侧基底节区急性脑出血约40ml,情况危急。

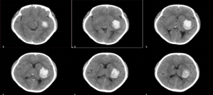
患者术前头颅CT
患者随后转到中大五院急诊医学科抢救,科室立即启动绿色通道,快速为其完善了头颅CTA检查排除颅内血管畸形等疾病。神经外科医生会诊并全面评估患者病情后,最终决定实施机器人辅助下脑内血肿穿刺置管引流术。
相比常规手术方式,机器人辅助下脑内血肿穿刺置管引流术能够快捷定位,精准置管,让置管误差控制在3mm以内,实现快速安全清除血肿,更加精确、高效、安全。
术中,主刀孔凡根医生先在患者前额切开一个长约2cm的切口,颅骨钻开一个直径8mm的骨孔,接着在机器人辅助定位下置入一根直径4mm的引流管,即刻抽出15ml的暗红色血凝块。

机器人辅助下脑内血肿穿刺置管引流术术中
术后患者转入ICU继续治疗。经过常规镇静、镇痛等治疗,患者在术后第1天已恢复意识,能与外界交流。术后第3天就转回普通病房,此时她已能简单言语,右侧手脚可轻微抬起。经过血肿引流3天,复查头颅CT显示,血肿大部分被引出,达到理想效果,可拔除引流管。

术后第10天患者出院前状态
配合早期床边康复治疗,患者恢复理想,住院11天后顺利出院。出院时患者可正常言语交流,右侧肢体肌力恢复至3-4级,可独立步行。出院一个月后患者复查CT显示恢复良好。

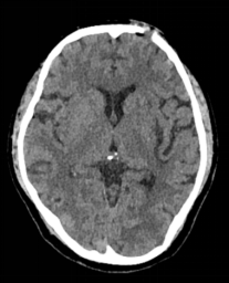
患者术后一个月门诊复查头颅CT
如何预防脑出血,医生告诉我们,一是控制好血压,高血压病人要注意生活及工作节奏,及时监测血压,遵医嘱按时口服降压药物,将血压控制在正常范围。
二是健康合理饮食,应适当补充肉、蛋和豆制品,并补充人体必需的氨基酸、蛋白质等营养物质;多吃富含维生素的新鲜蔬菜和水果。避免暴饮暴食及高盐、高脂肪饮食。
在此专家提醒大家,脑出血预防胜于治疗。如果发现脑出血症状,如:说话和理解困难、面部或四肢麻木、单眼或双眼视力障碍、头痛、行走困难,请及时呼叫120,及早治疗有利于挽救病人生命。
据了解,中大五院目前配置有高端手术显微镜、神经内镜、立体定向仪、机器人等设备及复合手术室,可以为脑出血手术病人提供个体化治疗方案。在机器人的辅助下,能为患者提供更微创、精准、有效的治疗。(文:许晴晴 张嘉斌 图:姜鑫)
