UBE技术让更多的颈椎手术从“传统”走向“微创”
发布时间: 2023-06-05 14:59:36 | 来源: 中国网健康 | 责任编辑: 张丰
近日,中山大学附属第五医院(中大五院)脊柱外科吕海主任采用单侧双通道内镜技术(UBE,unilateral biportal endoscopic)成功开展了数例微创手术,治疗了多名颈椎间盘突出患者。该术式创伤小,大大提升了患者的就医体验。

34岁的董先生,两个月前无明显诱因,出现左上肢疼痛和过电感。起初,他以为只是由于长时间低头玩手机、开车久坐及平时不运动所致,就没有过多在意。没想到症状持续加剧,疼痛的频率越来越高,后来直接发展成了全天持续性的疼痛,并伴有手指麻木,严重影响睡眠和生活质量。
董先生在尝试多种保守治疗方法无果后,经朋友推荐,来到中大五院脊柱外科就医。经检查,诊断为神经根型颈椎病,需要手术治疗。神经根型颈椎病症状以疼痛为主,临床表现为剧烈的颈痛及颈部活动受限,颈痛向肩、臂、前臂及手指放射,同时可有上肢无力及手指麻木等症状,疼痛严重时患者甚至无法入睡。
以往神经根型颈椎病通常使用传统手术方法,风险较高且恢复时间长。吕海主任团队与患者及家属充分沟通后,决定采取微创的形式,行单侧双通道内镜颈椎后路椎管减压及颈椎髓核摘除手术,历时仅1小时,切口不到2厘米。术后第二天,患者便可下地活动,第四天就顺利出院。董先生及其家属都对此次微创手术非常满意。


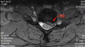
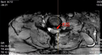
患者术前与术后的颈椎情况对比
吕海主任提醒市民,近年颈椎病越来越年轻化,甚至有些青少年十几岁就患上了颈椎病。因此,要养成良好的生活习惯,适当体育锻炼,如游泳、打羽毛球等,有助于加强颈部肌肉,对防治颈椎病具有一定帮助。如果出现了颈椎病相关症状,要及时到医院就诊,切忌盲目用药或随意按摩,以免影响后续治疗。

据了解,吕海现任中大五院脊柱外科主任、主任医师、医学博士、留美博士后、博士生导师。曾在美国NIH马格努森临床中心、约翰-霍普金斯医院骨科、马里兰大学临床中心骨科、UCSF(加州大学旧金山医学院)、安德森骨科研究中心、德国圣安娜医院骨科等多家国际知名医疗中心从事博士后研究和骨科临床进修学习共计7年。现为国际SICOT协会(国际矫形与创伤外科学会)委员、国家自然科学基金评审专家、中华中医药学会经皮脊柱内镜研究组常委、广东省医学教育学会骨科分会副主任委员、广东省康复医学会脊柱脊髓分会微创脊柱外科专业委员会副主任委员等,主持国家级科研项目3项,省部级科研项目2项,粤澳合作重大研发项目1项。
吕海从事骨科专业工作29年,擅长腰腿痛、颈肩痛、椎间盘突出、椎管狭窄、腰椎滑脱、脊柱外伤、脊柱肿瘤、脊柱结核、脊柱侧弯、后凸畸形等疾病诊治,尤其对脊柱疾病的微创治疗具有丰富的临床经验。
据悉,吕海出诊时间为周一上午、周四上午(专家门诊),周三上午(名专家门诊)(如有变动,以当日公布为准)。工作语言可以用普通话、粤语以及英语。(文:许晴晴 张嘉斌 图:姜鑫)
