柳人医成功实施“分期切肝”治疗巨大肝癌
发布时间: 2022-12-19 16:36:44 | 来源: 中国网健康 | 责任编辑: 张丰
可能您听说过分期付款,但是您听说过“分期切肝”吗?
近期,柳州市人民医院肝胆胰外科通过开展“二步肝切除术(ALPPS)”,成功救治2名巨大肝癌患者。

65岁的李阿公因腹痛在柳州市人民医院消化内科住院,经检查,被确诊为巨大肝癌。经过多学科联合诊疗,李阿公转入综合外科肝胆病区进一步治疗。

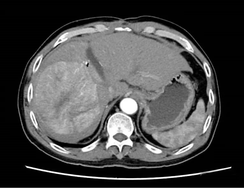
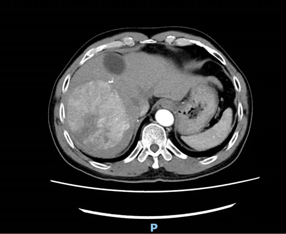
综合外科肝胆病区团队组织讨论,患者右肝肿瘤巨大,完全切除肿瘤后所剩余的肝脏体积不足标准肝体积的30%,术后极可能出现肝功能衰竭导致死亡。考虑到患者的实际情况,肝癌MDT团队进行了充分讨论。通过数字化影像学肝脏解剖重建、模拟肝切除,计算残余肝体积和标准肝体积,并对患者进行了全面综合评估,最终制订了治疗方案——“ALPPS手术(联合肝脏分割和门静脉右支结扎的分阶段肝切除术)”,简称“二步肝切除术”。手术分两步进行,第一次手术将病侧肝脏与正常肝脏分割并对病侧肝脏门静脉支进行结扎,待健侧肝脏代偿性增大至具备正常所需的肝脏功能后再进行第二次手术,完整切除病侧肝脏及肿瘤,让肝癌患者获得根治性治疗效果。

经过精心的术前准备,综合外科肝胆病区团队为患者实施ALPPS第一次手术。术中进行门静脉右支结扎,同时将左右肝分界线肝实质彻底离断。术后两周,CT检查及肝脏三维重建显示,患者右侧肝体积因低血流量而缩小,左肝外叶体积得到一定程度增长,但因患者肝硬化过重,左肝体积增长较慢,未达到二期肝切除标准。再次MDT讨论认为患者体积增加较慢,通过右肝肿瘤TACE(肝动脉化疗栓塞)治疗控制肿瘤进展。

一月后李阿公再次返院治疗,经再次评估达到二次肝切除手术的安全标准。综合外科肝胆病区团队再次手术,沿着瘤体 “抽丝剥茧”,最终完整切除肿瘤。术后,在快速康复外科(ERAS)理念及措施的支持下,李阿公顺利出院。
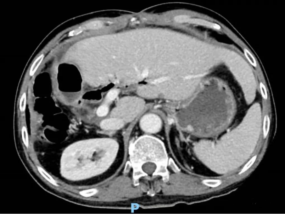
此外,患有慢性乙肝多年的黄先生日前也因为肝区疼痛来院就诊。入院前,黄先生肝区不适,在外院进行肝脏CT检查显示,肝脏肿瘤巨大达20cm,伴有肝硬化、脾大、肝门淋巴结肿大、少量腹水。因病情复杂,从外院来到柳州市人民医院综合外科移植病区住院治疗。



完善相关检查后,医生将影像学资料进行数字化解剖重建,模拟肝切除后计算残肝体积、标准肝体积。经肝癌MDT团队充分讨论,一致认为不具备一次根治性切除条件,可以考虑分期肝切除,并制定了完善的诊疗方案。医生先为患者进行抗乙肝病毒治疗、调整内环境、纠正低蛋白血症等,一周后,团队再次评估发现,患者的肝功能已经从B级好转为A级,但因切除肿瘤后的残肝体积不足,存在发生小肝综合征的风险。将病情与家属充分沟通后,家属同意接受分期肝切除方案。
鉴于病人的情况特殊,为了减轻手术创伤,团队决定采取腹腔镜微创手术实施一期手术。手术团队依序实施腹腔镜下结扎门静脉右支、离断肝实质,手术十分顺利。两周后医生复查肝脏CT并评估肝再生情况,因残肝体积未达到二期肝切除标准,经过MDT团队讨论,给予介入、药物等治疗。1个月后,患者回到医院复查,经团队评估达肝切除条件,再次通过腹腔镜手术顺利切除右肝三叶。术后患者恢复良好,目前已康复出院。

据了解,ALPPS术是肝脏外科领域近年来新兴的一项技术和理念,其手术原理是通过调整、改变肝脏血流,减少瘤侧肝组织血供,促进健侧肝组织快速生长,短时间内快速达到可耐受肝切除的体积,为残肝体积不足而不可切除的肝癌患者提供了手术治疗的更多选择。虽然优势明显,但因适应症选择严格、患者需要经受2次手术、术后容易出现并发症等原因,需要治疗团队具有超强的围手术期管理水平和过硬的肝切除技术。

医者仁心,精诚大医。为了最大程度减轻患者手术创伤,近年来柳州市人民医院采用腹腔镜微创技术实施分期肝切除,对手术团队的技术要求更高,对患者创伤更小。随着肝癌综合治疗措施的不断进步,医院还将分步二期肝切除技术与靶向治疗、免疫治疗、介入治疗等联合应用,让更多患者获益。(柳州市人民医院供稿)
