医生提醒警惕脑肿瘤早期症状
发布时间: 2022-08-23 14:10:29 | 来源: 中国网健康 | 责任编辑: 张丰
近期,一位36岁的黄先生因头晕耳鸣到中山大学附属第五医院神经外科就诊,检查发现,他脑干周围竟然长满了肿瘤。
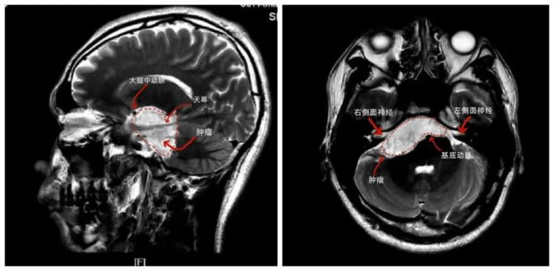
据神经外科刘飞主任介绍,患者的肿瘤主体位于右侧桥小脑角区并包裹多条神经血管、向上方跨过天幕长到中颅窝、跨过中线的基底动脉长到左侧。该区域涉及供应脑干血液的基底动脉和分支,还有负责听力、眼球运动、面部运动的各种神经。患者肿瘤较大,240度包绕脑干并挤压脑干移位,如不尽快手术,肿瘤将进一步压迫脑干,威胁生命。
据医生的专业解析,人脑由大脑、间脑、脑干和小脑组成,其中,脑干是人体重要的生命中枢、机体呼吸循环中枢,其上端与大脑相连接,下端与脊髓相连。心跳、呼吸、消化在内的一系列重要生理功能,均与脑干相关。

手术前
考虑肿瘤涉及范围太广,涉及的血管神经太多,术后患者可能出现面瘫、听力受损等并发症,且常规显微手术难以全切肿瘤,如肿瘤残留不仅需要二次手术,患者术后可能会长时间发热,危及生命。刘飞主任手术团队根据术前影像资料,预估肿瘤性质后,制定了周密的手术计划:
1.采用神经导航引导精准定位,选择最优手术入路径。
2.采用术中电生理监测,监测保护重要的神经功能。
3.采用神经内镜微创手术。与显微手术相比,神经内镜微创手术切口小、术中视野广、患者创伤小、恢复快等优势。

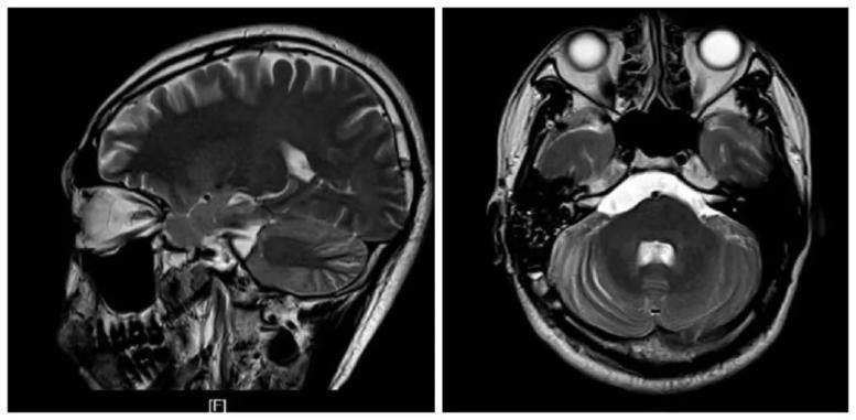
手术通过约4cm的小切口,一次性成功将患者脑干左右两侧及天幕上方的肿瘤完全清除,神经及血管均未损伤,术后患者无高烧症状、无后遗症,已康复出院。

手术后
刘飞主任提醒市民,要警惕脑肿瘤的早期症状。如有下列相关症状,可能是肿瘤在作怪,要及时到正规医院检查,以免延误病情。
一、头痛、头晕耳鸣
感冒、高血压、脑供血不足、外伤或睡眠不足都可能引发该症状。如果头痛、头晕耳鸣持续存在或越来越重,在排除其他疾病的情况下,要警惕脑肿瘤。
二、一侧肢体乏力
脑肿瘤引起的偏侧肢体无力一般表现为进行性加重,常合并肢体痛、温觉减退,患者感觉一侧身体不受控制,有时出现“踩棉花”感。
三、语言障碍
包括运动型失语和感觉性失语,前者表现为心里想表达却无法说出口,后者表现为患者不能理解别人和自己说话的含义。
四、行走不稳
累及小脑或前庭器官的肿瘤引起的行走不稳表现为头部眩晕感,闭目加重,行走直线困难等。
五、癫痫发作
如果无癫痫病史的成年人出现癫痫症状,要高度警惕脑肿瘤。
(许晴晴)
